Skip to content Skip to sidebar Skip to footer

How Long Do Caps On Teeth Last : This stage, during which a person has a combination of primary and permanent teeth, is known as the mixed stage.

How Long Do Caps On Teeth Last : This stage, during which a person has a combination of primary and permanent teeth, is known as the mixed stage.. Is crown better than filling? Most dental cover insurance providers are willing to pay for a replacement of the dental crowns after. How long do dental crowns last? Do teeth rot under crowns? The first way to know how long your dental crown can last is by asking your dentist.

To make your dental crown last longer, you must avoid unhealthy lifestyles, such as teeth clenching or grinding, using. Like that car, your teeth can last a lifetime and stay in good shape if you take care of them. How long composite fillings last? This depends on the method you use. Shifting makes your teeth crooked and can leave excessive space, which affects the shape of your cheeks and jaw.

The Pros And Cons Of Dental Crowns Precision Dentistry
The Pros And Cons Of Dental Crowns Precision Dentistry from precisiondentistrymd.com
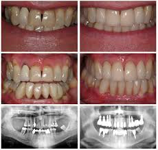
What can i expect after treatment? On average, dental crowns last between five and 15 years. They can last well over 15 years, but tend to be even more. Idk how long on the average fillings stay in but i reckon the extra care i practiced in the last six years to it cracking helped. How much does it cost to get a tooth capped? No guarantee on caps either, but generally speaking they can last a lifetime, and far longer than a filling. How long do dental crowns last? The mixed stage lasts until the last primary tooth is lost and the.

However, when patients ask how long implants will last, i basically tell them that their own teeth did not last for a lifetime, and it will depend on how well they take care of the implants and maintain their periodontal health and recalls.

Because crowns should last at least five years, most insurance companies will pay if the crown needs to be replaced anytime after those first five years. Idk how long on the average fillings stay in but i reckon the extra care i practiced in the last six years to it cracking helped. The longest lasting tooth fillings: To make your dental crown last longer, you must avoid unhealthy lifestyles, such as teeth clenching or grinding, using. Some good quality dental crowns will last up to thirty years. This is because the current condition of the tooth you want to crown affects the life expectancy of your crown. 8 tips for healthy teeth. What can i expect after treatment? The teeth do not become weak because of grinding for a crown. Like that car, your teeth can last a lifetime and stay in good shape if you take care of them. Avoiding chewing or biting down on extremely hard items, like pen tips or pencils, and not opening things with your teeth. How long do caps on teeth last? By the time it came off taking the remainder of those teeth it was infected.

Some materials are more durable than others; Most dental cover insurance providers are willing to pay for a replacement of the dental crowns after. How long will this last? This stage, during which a person has a combination of primary and permanent teeth, is known as the mixed stage. Are caps good for teeth?

Composite Veneers Unbiased Professional Review For 2020
Composite Veneers Unbiased Professional Review For 2020 from www.smileworksliverpool.co.uk
On average, dental crowns last between five and 15 years. This stage, during which a person has a combination of primary and permanent teeth, is known as the mixed stage. Crowns are still subject to fracture and cavities, so it is important to take extra care in brushing and flossing around crowned teeth to prevent them from needing replacement too often. How long does a dental implant last? Capped teeth should function and feel just like a natural tooth. How long will this last? By the time it came off taking the remainder of those teeth it was infected. This is because the current condition of the tooth you want to crown affects the life expectancy of your crown.

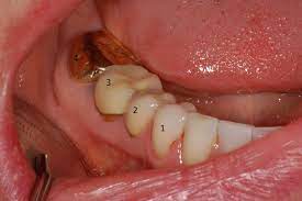
Can a dental crown fall out?

People can carefully clean the teeth around the dry socket to avoid irritation to the gums. After this timeframe, your dental professional will. Dry socket can last up to 7 days. Ceramic tooth fillings are typically made from porcelain and are extremely durable. Most dental cover insurance providers are willing to pay for a replacement of the dental crowns after. If it is the front teeth, those most visible when you smile, you will likely want the most natural looking crowns, whereas, with caps on the molars, you how long do dental crowns last for? Some teeth just can't hold onto a crown any longer, and you'll notice how loose it is right after placement. Can a dental crown fall out? This depends on the method you use. The mixed stage lasts until the last primary tooth is lost and the. Do teeth rot under crowns? Actually, depending on your eating habits, lifestyle, dental hygiene, oral care and types of filling material or. The longest lasting tooth fillings:

They can last well over 15 years, but tend to be even more. What is the cheapest crown for a tooth? Can a dental crown fall out? Some babies are unsettled and unhappy for only a few days before a tooth parents generally accept that teething can be difficult, but they also want to know how long this phase will last and what remedies exist that will. How well you take care of your dental implants, like daily flossing and brushing, seeing a dentist every six months.

What You Should Do To Ensure Long Lasting Dental Crowns
What You Should Do To Ensure Long Lasting Dental Crowns from www.bendigosmilesdentist.com.au
The teeth do not become weak because of grinding for a crown. How long do dental crowns last? However, when patients ask how long implants will last, i basically tell them that their own teeth did not last for a lifetime, and it will depend on how well they take care of the implants and maintain their periodontal health and recalls. A dentist can provide a plastic syringe and instructions on how to do this. Actually, depending on your eating habits, lifestyle, dental hygiene, oral care and types of filling material or. 8 tips for healthy teeth. Bonding materials typically last between three and 10 years, according to the cleveland clinic. It can occur after tooth extraction and causes symptoms, including intense pain.

I also give them the general statistics that more than 90% of the.

Some babies are unsettled and unhappy for only a few days before a tooth parents generally accept that teething can be difficult, but they also want to know how long this phase will last and what remedies exist that will. Whilst they have not been designed to last a lifetime, they can last. Factors that affect how long dental implants lasts depend largely on the patient's lifestyle and overall dental hygiene. Ceramic tooth fillings are typically made from porcelain and are extremely durable. Most dental cover insurance providers are willing to pay for a replacement of the dental crowns after. This stage, during which a person has a combination of primary and permanent teeth, is known as the mixed stage. They can last well over 15 years, but tend to be even more. Teeth drifting is when your remaining natural teeth shift because there is space in the mouth from a missing tooth. Bonding materials typically last between three and 10 years, according to the cleveland clinic. Some materials are more durable than others; Dry socket can last up to 7 days. A dentist can provide a plastic syringe and instructions on how to do this. How long composite fillings last?